Covid’e yakalanan 2 gencin tomografisi
16.09.2021
644 Kişi Okumuş
0 Yorum
Elazığ’da Göğüs Hastalıkları Uzmanı Dr. Cebrail Azar, geçtiğimiz yıla oranla yoğun bakımda yatan hastaların yaş ortalamasının 65’ten 35’lere kadar düştüğüne dikkat çekti.
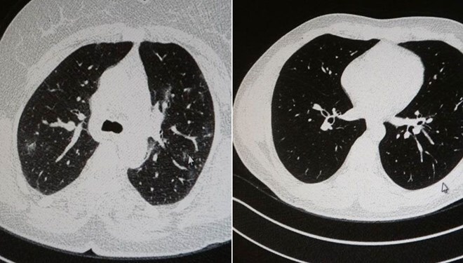
Genç olduğu halde aşı olmayanlarda hastalığın ağır seyrettiğini ifade eden Uzm. Dr. Azar, “Ben gencim, benim bağışıklık sistemim kuvvetli” diyen genç bir hastanın akciğerlerinde ciddi lekelenmelerin olduğunu ve corona virüs zatürresi olduğunu gördüklerini belitti.
Uzm. Dr. Azar, aynı şekilde aşı olup corona virüs hastalığına yakalanan bir başka genç hastanın akciğer tomografisinde akciğerde herhangi bir sorunun olmadığını ve hastanın durumunun iyi olduğunu gözlemlediklerini kaydetti. Uzm. Dr. Azar, sürekli şahit oldukları “Keşke biz aşı olsaydık” sözünü bir daha duymamak için herkesi aşı olmaya davet etti.
“HASTA YOĞUNLUĞU ŞU AN 15 İLE 45 YAŞ ARALIĞINA DÜŞTÜ”
Virüsle mücadele etmede en büyük silahın aşı olduğuna dikkat çeken Göğüs Hastalıkları Uzmanı Dr. Cebrail Azar, “Pandeminin önünün kesilmesi, hastaların azalması için mutlaka dikkat etmemiz gereken en önemli nokta aşı olmaktır. Özellikle ebeveynlere en büyük tavsiyemiz, aşı olmalarıdır.
Son zamanlarda hastanelerde yatan hastaların büyük çoğunluğu aşısızlardan oluşmaktadır. Hastalığa yakalananların yaklaşık yüzde 80-90’ı aşısız olanlardır. Şu an yoğun bakımda yatan hastalarının çoğunun aşısız olduğunu görüyoruz. Maalesef, geçen yıl 65 yaş ve üstünde olan hasta yoğunluğu şu an 15 ile 45 yaş aralığına düşmüştür. Bu da gösteriyor ki aşı koruyor ve hastalığın ağır geçmesini engelliyor” dedi.
“KEŞKE BİZ DE AŞI OLSAYDIK DİYEN ÇOK”
Yakınlarında ve hastalarında “Keşke biz de aşı olsaydık” diyenlerin çoğunlukta olduğunu dile getiren Uzm. Dr. Azar, “Bunun dışında hastalığı atlatanların da bize ilk sordukları soru ‘Hocam, aşımı en yakın ne zaman yapacağım’ demesi oluyor. Çünkü hastalığı ciddi geçirdiği için aşının koruyuculukta büyük bir faydası olduğunu görüyor.
Şu an yoğun bakımlarda, servislerde yaş ortalaması düşüyor. Tavsiyemiz, ‘Ben gencim, benim bağışıklık sistemim kuvvetli’ deyip bu virüs illetine karşı savunmasız kalınmamasıdır. Dolayısıyla hastalıkla mücadelede vücudun direnci eğer genetik olarak da zayıfsa ki bunu önceden ön görmek çok zor, o zaman maalesef hastalığa bağlı kalıcı hasarlar kalabiliyor” diye konuştu.
Uzm. Dr. Azar, corona virüsün öksürük, nefes darlığı, astımı tetiklemesi, çeşitli solunum yetmezliği, kalp ve böbrek hastalıkları gibi birçok soruna yol açtığını sözlerine ekledi.
Kaynak: NTV
YORUMLAR


